White World Plant Dental Clinic

건강한 치아, 백세플란트치과

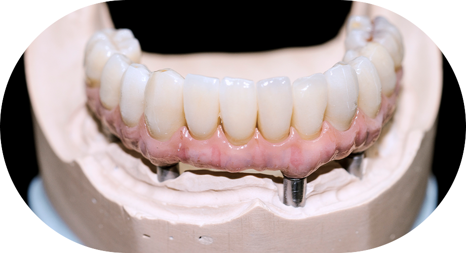
IMPLANT CLINIC

임플란트 틀니

어디서든 마음 껏 웃어도 되는
임플란트 틀니 !

임플란트 틀니란?

임플란트와 틀니를 결합하여 단점을 보완 !

임플란트 틀니는 2 - 6개에 이르는 임플란트를 틀니와 같이 적용시켜 사용하는 방법으로
기존의 틀니만 착용할 경우 잇몸에 받는 힘 때문에 통증을 유발하는 등의 단점을 보완하여
임플란트 틀니를 견고하게 결합하는 방법입니다.

소중한 치아를 위한 임플란트 틀니

불편함을 최소화 한 임플란트 틀니

강한 유지력과 자연치아와 거의 유사한 저작력을 발휘하며 오래 틀니를 사용하면
치조골이 점점 흡수되어 처음에 잘 맞던 틀니가 헐거워집니다.

  • 강한 유지력

  • 우월한 저작력

  • 적은 이물감

  • 안정적 탈부착

임플란트 틀니가 필요한 경우

  • 임플란트 비용
    치료기간
    부담되시는 경우

  • 장기간 틀니 사용으로
    잇몸뼈가 흡수되어
    뼈이식이 필요하신 경우

  • 일반틀니(전체틀니)를 하신 분들 중
    틀니가 헐겁고 들썩거려
    잇몸에서 잘 떨어져
    고생하고 계신 경우

정품임플란트 제조사가 인정한 임플란트 우수 자문치과

백세플란트치과의 토탈케어 시스템

만 65세 이상
임플란트 건강보험적용,
본인부담률 30%

2018년 7월부터 본인 부담률 30%로
부담없는 진료가 가능합니다.

  • 적용대상

    만 65세 이상
    (완전 무치악은 적용 제외)

  • 적용개수

    1인당 평생 2개

백세플란트의 특별함 01

실력있는 의료진

임상 노하우와 전문성, 숙련도를 갖춘 전문의가
환자분들의 정확한 구강상태 진단과 모든 치료과정을 함께합니다.

백세플란트의 특별함 02

정확한 진단과 치료

다양한 진료경험을 기반으로 한 정확한 진단으로
환자의 구강상태에 맞는 최적의 진료를 제공합니다.

백세플란트의 특별함 03

고가의 첨단 장비

정확한 진단과 치료, 환자분들의 안전을 위해
첨단 디자털 장비 시스템을 도입하여 진료 만족도를 높입니다.

백세플란트의 특별함 04

철저한 방역 시스템

모든 기구를 철저하게 소독하고 관리하는
소독 관리 시스템을 운영하고 있습니다.

백세플란트의 특별함 05

감염방지 예방관리

쾌적하고 깨끗한 진료환경을 유지하며, 1인 1기구 사용을 원칙으로
2차감염을 예방에 힘쓰고 있습니다.

백세플란트의 특별함 06

정품 정량 사용 원칙

정품, 정량의 입증받은 제품만을 철저하게 보관, 관리하여
유통기한을 확인하고 사용합니다.

우리동네 좋은치과

백세플란트치과는 KDA 대한치과의사협회의 우리동네 좋은치과 캠페인에 동참하여 15가지 약속 을드리고 있습니다.

우리동네 좋은치과 백세플란트치과

  • 환자를 위해 꼭 필요한 진료만 합니다.

  • 치과의사가 직접 치료계획만 진료를 상담합니다.

  • 위임진료 없이 치과의사가 직접 진료합니다.

  • 안전하고 검증된 재료만 사용합니다.

  • 간단한 진료도 마다 않고 언제나 최선을 다합니다.

백세플란트치과의
온라인 상담

  • 백세플란트치과 가정점

  • 온라인 상담 구월점

  • 백세플란트치과 부평점

  • 가정백세플란트치과의원

    대표 권영욱
    주소 인천광역시 서구 가정동 504-9 3층 [네이버지도]
    연락처 032-272-2828
    사업자등록번호 261-94-01582

  • 구월백세플란트치과의원

    대표 황동욱
    주소 인천광역시 남동구 구월동 1451-5 유진빌딩 2층 [네이버지도]
    연락처 032-441-2282
    사업자등록번호 131-91-73858

  • 부평백세플란트치과의원

    대표 박준영
    주소 인천광역시 인천광역시 부평구 부평동 185-6 타이콘스빌딩 5층 [네이버지도]
    연락처 032-527-2754
    사업자등록번호 122-35-70171

Copyright ⓒ 2022 백세플란트치과 All rights reserved.